Our Blog
- 

Benefits Beyond Beauty: How having braces does more than improve your looks
Read More: Benefits Beyond Beauty: How having braces does more than improve your looksNo doubt about it, a great smile ups the beauty quotient of any face. And when parents start considering getting braces for their…
 - 

3 Ways getting braces saves money in the long run
Read More: 3 Ways getting braces saves money in the long runWhen you think about getting braces for your child, you probably think of it as investing in a straight smile that will give…
 - 

Why do teeth shift as we age?
Read More: Why do teeth shift as we age?If you’re looking at your smile in the mirror and wondering, “Did it always look like that?” you may be suffering from natural…
 - 

Am I too old to get Invisalign?
Read More: Am I too old to get Invisalign?Whether you never had braces as a child or your once-straight teeth have crept out of position over the years, if you’re looking…
 - 

Bruxism: Getting out of the grind
Read More: Bruxism: Getting out of the grindWake up with headaches? Find yourself rubbing a sore neck or jaw first thing in the morning, and you’re not sure where…
 - 

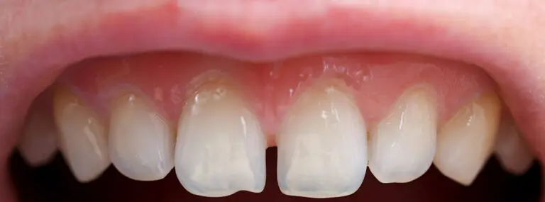
Why are my teeth transparent?
Read More: Why are my teeth transparent?Looking at your teeth in the mirror, do they look 100% white and opaque all the way down? If not, you may be…
 - 

When should my child get braces
Read More: When should my child get bracesYour child’s smile—the one you’ve loved since way back when it was just a gummy grin—is finally growing up. As a parent, taking…
 - 

How does tooth whitening work?
Read More: How does tooth whitening work?A white, bright smile is an instant confidence booster. Not only does it make you look years younger, it also conveys a message…
 - 

Why are my teeth so sensitive?
Read More: Why are my teeth so sensitive?Ice cream make you scream? If you’ve got sensitive teeth, you know how quickly enjoying hot, cold, or sweet treats can go from…