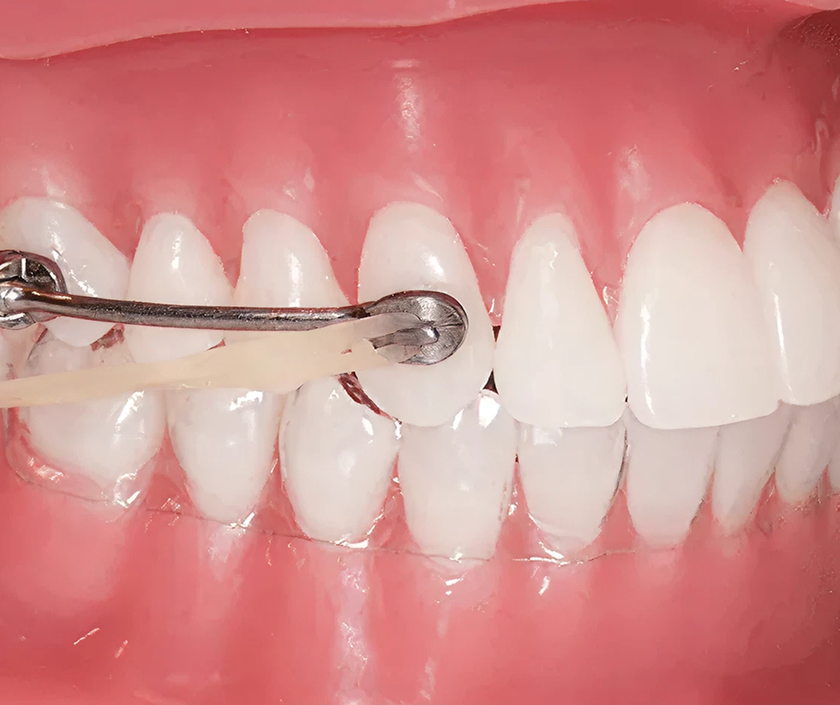
Carriere Motion Appliances for Braces.
The Carriere Motion Appliance is used before braces to fix bite alignment. It attaches to the canine and first molar with dental glue and uses elastics to apply gentle pressure, gradually moving the teeth to correct back bite issues.


What Does The Carriere Motion Appliance Do?
The Carriere Motion Appliance helps correct misaligned back teeth before braces or Invisalign treatment begins. The Carriere Motion Appliance moves the upper and lower teeth for a more aligned bite. By aligning the bite before the transition to braces or aligners, total treatment time can be greatly reduced.
The Carriere Motion Appliance can replace a Herbst appliance or headgear. It may also be used in place of complicated bite alignment surgery.
Frequently Asked Questions.
Will People Notice My Appliance?
The Carriere Motion Appliance is hardly noticeable in the mouth because of its aesthetically pleasing design. Unlike many other types of orthodontic appliances, the Carriere Motion Appliance will not interfere with your ability to speak.
How Often Do I Need to Change the Elastics on My Carriere Motion Appliance?
You’ll need to change your elastics 2-3 times a day, or at least after every meal. Remember to always wear your retainer with the elastics. Wearing the elastics without the retainer can have an adverse effect on the alignment of your teeth.
What are the Benefits of Using Appliances in Orthodontic Treatment?
Orthodontics isn’t just about straightening teeth! Larger oral anatomy issues like misalignment and space issues can have a big impact on health and aesthetics. That’s why it’s crucial to talk to an expert orthodontist who can recommend the right combination of dental appliances and braces or aligners for your specific needs. Carriere Motion Appliances specifically allow for expedited treatment (when used before braces) and can help prevent pain and dental health issues caused by bite misalignment.
Can I Customize my Carriere?
Yes! The Carriere Motion Appliance comes in 30 fun colors. Who says orthodontic appliances have to be boring?
Why The Two-Step Process of Braces and Carriere?
Carriere Motion Appliances are faster and more effective in moving upper and lower teeth for a more aligned bite. This helps shorten the amount of time that you will need braces or aligners. So for those who need more intensive alignment correction, a two-step process is recommended (Carriere Motion Appliance, then braces or aligners) to improve your results and treatment timeline.
Get Your Free Consultation.
Start the journey toward a straighter smile today!